对自身抗原的耐受性可阻碍免疫系统对癌症的清除。本研究使用合成的嵌合抗原受体(CARs)来克服慢性淋巴细胞白血病(CLL)患者的免疫耐受,从而介导抗肿瘤反应。该治疗可缓解其中一组受试者的病情,但大多数患者没有反应。目前临床上尚未对患者来源的CAR-T细胞进行综合评估,以明确治疗成功和失败的机制。
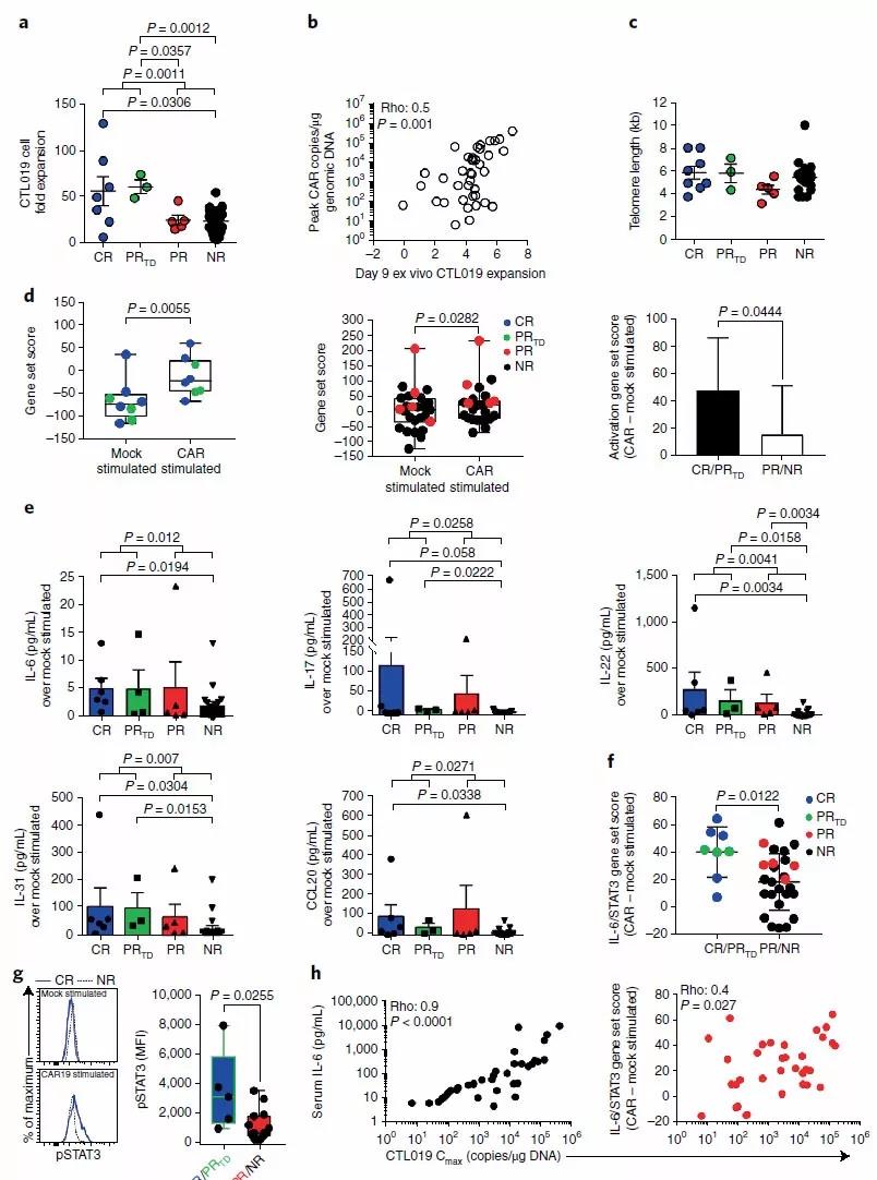
在本研究中,研究人员通过基因组分析、表型分析和功能评估,以确定CAR-T抗肿瘤免疫反应的决定因素。转录组学分析显示,来自完全响应的CLL患者的CAR-T细胞富含记忆相关基因,包括IL-6/STAT3信号分子;而来自无响应的CLL患者的CAR-T细胞内参与效应细胞分化、糖酵解、衰竭和凋亡的信号分子的表达上调(图1)。疾病的持续缓解与CD27+CD45RO-CD8+T细胞数量升高有关,并且这些淋巴细胞具有记忆性细胞特征。来自患者的高性能T细胞可产生STAT3相关的细胞因子,血清中IL-6与CAR-T细胞扩增相关。IL-6/STAT3信号通路的阻断抑制了CAR-T细胞的增殖能力(图2)。此外,表达高水平IL-6受体的CD27+PD-1-CD8+CAR-T细胞与抗肿瘤反应直接相关,可控制肿瘤的进展(图3)。本研究揭示了CAR-T细胞生物学的新特征,可用于治疗前检测其生物标志物以预测抗肿瘤疗效。

图1 完全响应(CR)和无响应(NR)CLL患者来源的CAR-T细胞转录组学分析结果

图2 CAR-T细胞增殖能力、活化潜能和IL-6/STAT3信号通路决定了治疗是否有响应

图3 CD27+PD-1-CD8+CAR-T细胞群与抗肿瘤疗效直接相关
参考文献:Determinants of response and resistance to CD19 chimeric antigen receptor (CAR) T cell therapy of chronic lymphocytic leukemia. Nat Med. 2018 Apr 30. doi: 10.1038/s41591-018-0010-1
关注公司微信公众号 地址:深圳市龙华新区宝能科技园