
研究亮点
(1)CIP发生在由无血清化学混合物和2iL介导的两个阶段。
(2)CIP过程中基于ATAC-seq的染色质动力学与传统的OSK重编程不同。
(3)CIP过程中的染色质动力学突出了GATAs、SOXs和FOXs的作用。
(4)BrdU在染色质重建时发挥了关键作用。
研究摘要
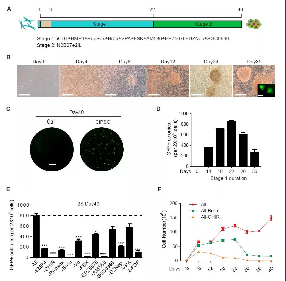
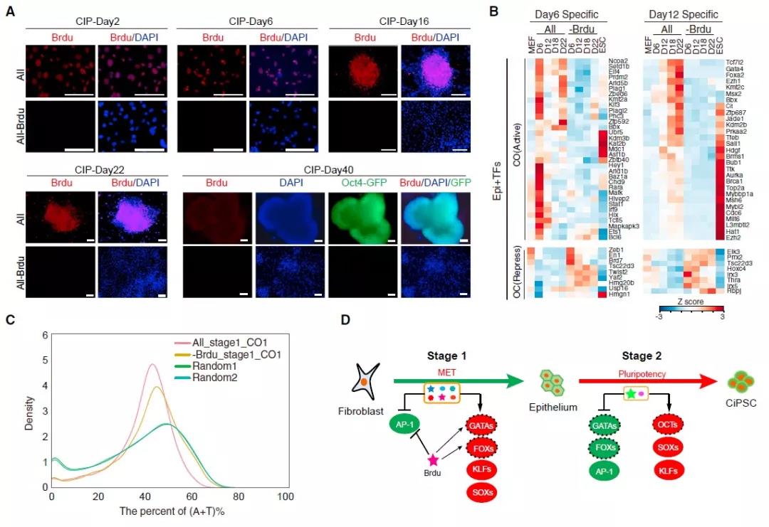
尽管具有令人兴奋的潜力,但是目前化学小分子诱导的多能性(chemical induction of pluripotency,CIP)效率仍然很低,相关的机制也了解甚少。本研究开发了一种高效的两步法CIP方案,该方案不含血清,且无需再次接种(图1);此外,通过使用高通量测序对易接近转座酶核染色质区域进行分析(ATAC-seq技术),本研究对CIP过程中的相关染色质动力学(chromatin accessibility dynamics,CADs)进行了研究(图2)。CIP过程将体细胞基因组重建为中间态后,在2iL(CHIR99021+PD0325901+LIF)的介导下,重新关闭之前已打开的基因位点,逐步打开OCT / SOX / KLF家族基序的基因位点,从而获得多能性。溴脱氧尿苷(Bromodeoxyuridine,BrdU)是CIP过程中的关键因子,它负责关闭和打开关键基因位点,包括阻止富含AP1家族基序的基因位点的打开,以及促进富含SOX/ KLF / GATA基序的基因位点的打开(图3)。这些CAD变化明显不同于Yamanaka因子驱动的重编程。该研究将进一步加深人们对基于小分子的重编程机制以及与细胞命运决策相关的核结构重组机制的认识。

图1 从小鼠胚胎成纤维细胞获得化学小分子诱导的多能干细胞

图2 CIP过程中的染色质动力学

图3 BrdU调控CIP过程中的染色质结构
参考文献:Chromatin Accessibility Dynamics during Chemical Induction of Pluripotency. Cell Stem Cell. 2018, 22: 529–542.
关注公司微信公众号 地址:深圳市龙华新区宝能科技园